術後疤痕鼓起別輕忽 腹壁切口疝氣恐引發腸阻塞

Admin
Admin 三月 9, 2026 0
《圖說》黃崧峰主任指出,腹壁切口疝氣若未及時治療,恐引發腸嵌頓、腸阻塞,甚至腸壞死等嚴重併發症。〈土城醫院提供〉.
《圖說》黃崧峰主任指出,腹壁切口疝氣若未及時治療,恐引發腸嵌頓、腸阻塞,甚至腸壞死等嚴重併發症。〈土城醫院提供〉.

【記者葉柏成/新北報導】新北市立土城長庚醫院一般外科主任黃崧峰表示,研究顯示曾接受開腹手術的患者中,約有10%至30%可能出現腹壁切口疝氣。若未及時治療,疝氣可能隨時間逐漸變大,甚至導致腸道卡在缺口處形成「腸嵌頓」,進一步引發腸阻塞或腸道壞死等嚴重併發症,屆時不僅手術難度提高,對患者健康也可能造成更大威脅,因此一旦發現疤痕處反覆鼓起,應及早就醫檢查。

黃崧峰舉例76歲程先生個案說明,程先生多年前因腹腔腫瘤接受傳統開腹手術,術後追蹤情況一直穩定,未料近期發現過去的手術疤痕上方逐漸出現隆起腫塊,尤其在咳嗽或搬重物時更加明顯,但平躺後又會消失,反覆出現的情況讓他擔心是否為腫瘤復發,因而緊急就醫檢查。經醫師評估後發現,腫塊並非腫瘤,而是典型的「腹壁切口疝氣」。

黃崧峰指出,腹壁切口疝氣是腹部手術後常見的併發症之一,尤其曾接受傳統開腹手術的患者更容易發生。主要原因在於腹壁筋膜或肌肉在手術後未完全癒合,導致腹腔內的腸道或脂肪從腹壁缺口向外突出,形成可觸摸的腫塊。患者常見症狀包括腹部疤痕處隆起、咳嗽或用力時腫塊變得明顯,平躺後又可能暫時消失,因此容易被誤以為只是疤痕外觀變化。

他說,在治療方面,過去傳統腹壁切口疝氣修補手術通常需要再次切開較大的傷口,手術後疼痛較為明顯,恢復時間也較長,且復發風險相對較高。隨著微創手術技術發展,目前可透過腹腔鏡或機械手臂手術進行修補,僅需數個小切口即可完成疝氣缺口縫合與人工網膜置放,大幅減少組織破壞與術後疼痛,同時縮短住院及恢復時間。

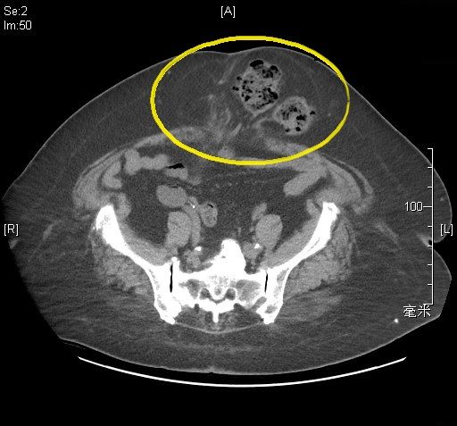
《圖說》黃崧峰醫師說明,電腦斷層影像顯示腹部手術傷口處出現疝氣,導致腸道突出(黃圈處),增加手術難度及病患術後恢復的天數。〈土城醫院提供〉
《圖說》黃崧峰醫師說明,電腦斷層影像顯示腹部手術傷口處出現疝氣,導致腸道突出(黃圈處),增加手術難度及病患術後恢復的天數。〈土城醫院提供〉

值得注意的是,自2024年9月起,達文西機械手臂疝氣修補手術已納入健保給付。該系統具備高解析度3D立體影像與靈活精準的機械手臂操作,可在狹小空間中完成精細縫合與網膜固定,對於曾接受開腹手術或腹腔沾黏較嚴重的患者特別有幫助,也有助降低術後疼痛及復發機率。

程先生原本擔心再次手術會帶來劇烈疼痛與漫長恢復期,在與醫療團隊詳細討論後,決定接受達文西機械手臂疝氣修補手術。手術僅透過三個小孔完成疝氣缺口縫合與人工網膜置放,術後當天即可下床活動,疼痛感明顯減輕,傷口恢復也相當順利,讓他對治療結果感到滿意。

醫師提醒,腹壁切口疝氣並非單純的疤痕外觀問題,若發現腹部手術疤痕處出現反覆鼓起的情況,尤其在咳嗽、用力或站立時更加明顯,應儘早就醫評估。隨著手術方式日益多元,醫師會依據患者病史、腹壁狀況及疝氣大小,評估最適合的治療方式,協助患者在安全與恢復效果之間取得最佳平衡。

每日更新

查看更多
男子購買《天堂經典版》帳號遭狠削現金! 和美警揭 LINE 社群「假賣家」詐騙陷阱

和美分局塗厝派出所員警於日前受理一名姚姓男子詢問,姚男日前加入名為「天堂經典版:火神赫發斯特斯交易討論群」的LINE公開社群,並在群組內結識了一位LINE 暱稱為「陳韋延」的手遊帳號賣家。雙方私訊討論「天堂經典版」的遊戲帳號交易細節後,達成交易共識。姚民不疑有他,依對方要求以一卡通iPASS MONEY轉帳方式,將新臺幣全數匯給該名自稱「陳韋延」之人。豈料,姚民在完成轉帳並取得帳號密碼準備登入時,卻發現該組遊戲帳號根本「無法正常使用」。姚民隨即向該名賣家反應,並表示希望對方能進行退款處理,然而該名自稱「陳韋延」之人不僅當場拒絕退款,隨後更直接對訊息「不讀不回」並將被害人封鎖,姚民這才驚覺自己落入詐騙陷阱,警方表示可先在天堂官方網站申訴或至消保官反映。  和美警分局呼籲鄉親:民眾若不慎遭遇類似詐騙,請務必完整截圖對話紀錄、交易明細,並立即撥打165反詐騙專線打詐儀表版(https://165dashboard.tw/)或前往鄰近派出所報案。警方將持續針對網路詐欺進行強力打擊,守護民眾的財產安全。 圖/彰化縣警察局提供

Admin 四月 24, 2026 0

瞄準中台灣700萬出境市場 華府旅遊旅展推出多條2萬有找行程

南珉貞化身寵愛系店長 甜喊要把薪水花光孝敬媽媽!

行政院核定近百億元「軌道結構安全提升計畫」  臺鐵推動機械化軌道養護 強化行車安全與服務品質

宣導防詐交安 海山警治安會強化社區防護網

《圖說》海山警於轄區溪頭里舉辦社區治安會,針對近期常見詐騙手法、防竊觀念及交通安全重點進行說明。〈海山分局提供〉 【記者葉柏成/新北報導】新北市海山警分局為強化社區整體治安與交通安全意識,日前於轄區溪頭里舉辦社區治安會,由副分局長陳嘉鵬率員出席,並與里長余柏緯共同主持,吸引多位里民到場參與。會中針對近期常見詐騙手法、防竊觀念及交通安全重點進行說明,期望提升民眾自我防護能力。 陳嘉鵬指出,當前詐騙集團手法日益翻新,常見如「假冒公務員」與「假投資」等類型,歹徒假借司法或警察機關名義,謊稱帳戶涉及不法需監管,要求繳交保證金,或透過社群平台成立投資群組,誘導被害人投入資金甚至面交現金。警方提醒,凡涉及金錢交付應提高警覺,並可撥打165反詐騙專線查證。 在防竊宣導方面,警方呼籲民眾外出時務必檢查門窗是否上鎖,避免將貴重物品留置家中或車內,並建議加裝監視設備或照明設施,以降低遭竊風險。 《圖說》海山警社區治安會,民眾踴躍搶答。〈海山分局提供〉 交通安全部分,警方亦針對行人路權、酒後駕車危害,以及大型車輛內輪差與視線死角進行說明,並透過實際事故影片加深印象。警方強調,酒駕零容忍已為社會共識,仍有少數駕駛心存僥倖而釀成悲劇,呼籲民眾切勿以身試法。 陳嘉鵬強調,治安與交通安全需警民攜手合作,未來將持續結合里長及校園資源,推動多元宣導活動,透過深入社區的方式,打造更安全、安心的生活環境。

Admin 四月 24, 2026 0

新北私幼不當對待案 教保員最重終身禁任 園所違規停招

上山不只賞花 陽明山溫泉區打造半日湯旅新日常

《時空貓》製作人高大輔新作曝光!挑戰「4X × Roguelike 牌組構建」全新領域 深度劇情結合國家發展策略 打造中毒性十足的「敘事型」奇幻新作

南亞不忍了! 真心換絕情!吳國輝教師自身無法提升配合校務,不適任還濫訴?

南亞技術學院昨(23)日發布新聞稿表示,該校教師吳國輝對校方相關指控與事實有明顯落差,校方並非針對個人打壓,而是依據校內排課規範、授課時數不足處理辦法、教評會審議及人事程序依法行政。圖 / 南亞技術學院提供 【記者 / 李林戈綜合報導】 針對高教工會23日召開記者會,指控南亞技術學院涉有霸凌、逼退教師等情事,南亞技術學院發布新聞稿表示,相關說法與校內實際處理情形明顯不符,若僅憑單方濫訴的說法即對外定性,不僅混淆視聽,也對學校聲譽及第一線教學、行政同仁造成傷害。校長張仁家強調,吳國輝講師相關案件,自排課、安置、授課時數折抵、行政提醒、教評會審議到人事程序,均依教育部法規與校內制度循序辦理,絕非外界所稱霸凌或惡意逼退。 校方指出,依本校「排課作業實施要點」,排課須兼顧教學單位專業核心課程及教師資績排序。吳師近年在系上資績排序居後,連續兩學年度、四個學期未排得課程;即便如此,學校仍持續全額支給薪資與學術研究費,每月84,545元,從未扣減待遇,至今累計已逾300萬元。校方表示,若真有打壓情事,學校不可能長期在授課不足情況下,仍持續全額支薪並保留協助空間。 南亞表示,張仁家校長到任後,即要求相關單位盤點可行方案,希望以最大善意協助吳師回到正常教學軌道。除曾研議優退方案外,也依規範召開多次安置討論,盡可能安排課程或行政工作,惟受限於其專業領域較為狹窄,且行政能力與現有職務需求難以銜接,始終未能找到適配職缺。其後,114學年度第1學期學校更增訂授課不足折抵措施,鼓勵教師透過USR計畫、課業輔導或社團指導折抵鐘點;當時共有3位教師提出申請,唯獨吳師未辦理,經人事單位多次提醒仍未提出。 校方指出,吳師基本授課時數不足,又未申請折抵,行政單位多次提醒均未獲回應,對認真配合制度的教職員並不公平,因此依規定提送教評會審議記過處分。校方並表示,校級教評會召開時,已事先提醒不得攜出書面資料及不得錄音,但吳師仍違反相關規定,擅自將資料帶離會場,並拿出手機錄下會議內容,經主席制止仍不停止,甚至表示「我要錄音,不然大家都不要開會」、「歡迎你們來告我啊!」等言論,致使會議受阻。校方表示,相關情節經教評會依議事規則及程序審議後,委員投票通過記過處分,並非行政單位片面決定。 南亞進一步表示,114學年度第2學期,吳師授課鐘點僅2小時,依「專任教師基本授課時數不足處理辦法」,本即應送人事程序;即使如此,學校仍再次通知其申請折抵鐘點,本學期雖已申請折抵4小時,但每週仍未達基本授課時數標準。校方強調,吳師已連續6學期未達基本授課鐘點,學校不僅未扣減薪資,且始終盼其善用時間培養第二專長,相關處理可見校方係以輔導、安置、補救在前,依法處理在後。 張仁家校長表示,校方對所有教職員一視同仁,從無刻意針對。連今年過年期間教職員期末研習後發放開運紅包時,吳師也與其他同仁相同受領,足見校方並無外界所稱刻意打壓情事。對於外界未經完整查證,即將制度性、程序性的處理扭曲為霸凌與逼退,甚至進一步出現要求撤換校長等說法,實乃真心換絕情,深感遺憾。南亞技術學院重申,學校珍惜教師過往付出,但當校方已多次提供安置、提醒與補救機制,仍無法改善授課時數長期不足的客觀事實時,依法依程序辦理,乃維護教學品質、學生受教權益及校務公平運作的基本責任。

Admin 四月 24, 2026 0

全台僅2警犬通過德國高級路徑追蹤認證震撼亮相

好食好事基金會 x 晶睿通訊 連續3年攜手以食農創新推動永續行動落地

勞動力緊縮、出口競爭加劇 泰國企業急採十大新興科技應戰

0 Comments